Intégration d'algorithmes d'analyse de grandes images biomédicales
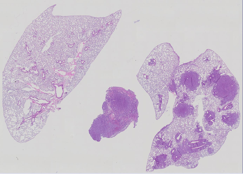
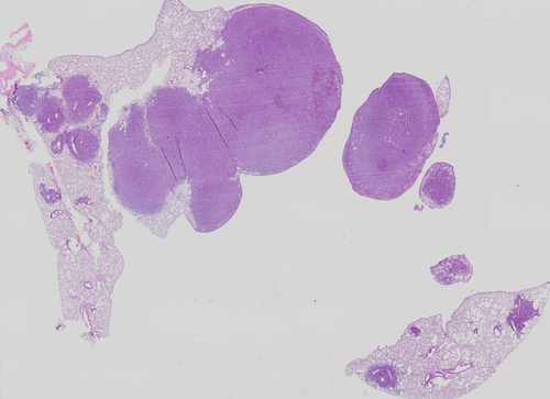
Le but de ce travail est de développer et évaluer des algorithmes d'analyse automatique d'images pour la quantification de grandes images biomédicales (comptages et caractérisation de cellules, descriptions de textures, mesures de surfaces, etc.). Les applications sont nombreuses, par exemple dans le contexte du cancer du poumon ou dans le cadre de recherches sur les mécanismes comme l'angiogénèse. Les algorithmes devront être intégrés au sein d'une plate-forme web existante (voir TFE 2009-2010 de A. Babilone et R. Rassaa) afin de pouvoir être utilisés facilement par des biologistes qui ont à analyser des centaines d'images de grandes tailles (> 30000 x 30000 pixels) dont des exemples sont présentés ci-dessous.
Ce travail pourra être réalisé en collaboration avec des chercheurs du GIGA.
Bibliographie:
* M. Dumont et al. Fast Multi-Class Image Annotation with Random Subwindows and Multiple Output Randomized Trees Proc. International Conference on Computer Vision Theory and Applications (VISAPP), 2009.
* TFE 2009-2010 de Samuel Cop, Arnaud Babilone, Rafik Rassaa.
* A. Ruiz et al. Stroma Classification for Neuroblastoma on Graphics Processors, J. of Data Mining and Bioinformatics, 2008.
Profil:
Étudiant(e) intéressé(e) par le développement d'algorithmes performants d'analyse d'images et d'apprentissage automatique, par les applications biomédicales, et par les nouvelles technologies d'acquisition d'images et de parallélisation.

